중풍의 전조증상, 원인, 치료에 대해서 알아보겠습니다. 중풍은 뇌 기능을 유지하는 혈액 공급에 문제가 생기며 나타나는 변화로 설명할 수 있습니다. 뇌는 쉬지 않고 작동하는 기관이기 때문에 혈액 흐름이 원활하지 않으면 여러 기능에서 이상 신호가 드러날 수 있습니다.
전조 단계에서 나타나는 변화는 잠깐 스쳐 지나가는 현상처럼 보일 수 있으나, 몸이 보내는 중요한 알림으로 이해하시는 것이 필요합니다. 중풍은 증상 하나로 판단하기보다는 뇌 상태 전반의 변화 과정으로 바라보아야 합니다. 이러한 관점에서 중풍을 이해하면 이후의 관리와 판단에도 도움이 됩니다.
중풍이란
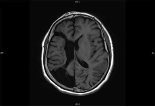
중풍은 뇌로 가는 혈액 흐름에 문제가 생겨 뇌 기능에 변화가 나타나는 상태를 말합니다. 뇌는 산소와 영양분을 지속적으로 공급받아야 정상적으로 작동하는데, 혈액이 제때 전달되지 않거나 흐름이 막히면 해당 부위의 기능에 이상이 생길 수 있습니다. 이때 나타나는 변화가 중풍으로 불립니다. 우리나라에서는 흔히 중풍이라는 표현을 사용하며, 의학적으로는 뇌졸중이라는 용어로도 알려져 있습니다.
중풍은 갑작스럽게 나타나는 경우가 많아 평소와 다른 신체 변화를 빠르게 인식하는 것이 중요합니다. 얼굴 움직임이나 말하는 능력, 팔다리의 힘, 시야 인식 등 여러 기능에서 변화가 감지될 수 있습니다. 증상은 뇌의 어느 부위에 문제가 생겼는지에 따라 다르게 나타납니다. 일부 경우에는 짧은 시간 동안 나타났다가 사라지기도 하지만, 이는 몸이 보내는 중요한 신호로 받아들이는 것이 필요합니다.
중풍은 나이 증가와 함께 발생 가능성이 높아질 수 있으며, 평소 혈압이나 혈관 상태와도 연관이 있습니다. 따라서 중풍은 갑작스러운 마비나 의식 변화만을 의미하는 것이 아니라, 뇌 기능 전반에 영향을 줄 수 있는 상태로 이해하시는 것이 바람직합니다.
중풍의 전조증상
얼굴 비대칭
중풍의 전조로 나타나는 얼굴 비대칭은 표정 변화에서 먼저 인식되는 경우가 많습니다. 웃거나 말을 하려 할 때 입꼬리가 한쪽으로만 올라가거나, 얼굴 한쪽이 처진 듯 보일 수 있습니다.
눈을 꼭 감으려 해도 한쪽 눈이 잘 감기지 않거나, 이마에 주름을 잡을 때 좌우 차이가 느껴지기도 합니다. 세수를 하거나 면도를 할 때 얼굴 감각이 평소와 다르다고 인식하는 분들도 계십니다. 이러한 변화는 얼굴 근육을 조절하는 신경 신호 전달에 문제가 생겼을 때 나타날 수 있습니다.
언어 장애
중풍의 전조 증상으로 나타나는 언어 장애는 말이 매끄럽게 이어지지 않는 형태로 시작되는 경우가 많습니다. 알고 있는 단어가 바로 떠오르지 않거나, 말을 하려는 생각과 실제 발음 사이에 차이가 생겼다고 느낄 수 있습니다.
발음이 어눌해졌다는 말을 듣거나, 문장이 끊어져 전달되는 상황도 나타날 수 있습니다. 상대방의 말을 이해하는 데 시간이 더 걸린다고 느끼는 경우도 있으며, 간단한 질문에도 바로 대답하지 못하는 경험을 하기도 합니다. 글자를 읽거나 문장을 구성하는 과정에서 혼란을 느끼는 분들도 계십니다.
한쪽 팔이나 다리의 마비
중풍의 전조로 나타나는 한쪽 팔이나 다리의 마비는 좌우 중 한쪽에만 힘이 빠지는 형태로 인식되는 경우가 많습니다. 물건을 잡으려 할 때 손에서 힘이 빠져 떨어뜨리거나, 다리가 바닥에 닿는 감각이 둔하게 느껴질 수 있습니다.
계단을 오르내릴 때 한쪽 다리가 잘 따라주지 않는다고 느끼는 분들도 계십니다. 팔을 들어 올리거나 손가락을 움직일 때 반응이 느리게 이어진다고 인식되기도 합니다. 한쪽 몸에만 변화가 집중된다는 점이 특징으로 이전과 다른 힘의 차이를 느낀다면 주의 깊게 살펴볼 필요가 있습니다.
갑작스러운 시력 저하
중풍의 전조로 나타나는 시력 저하는 갑작스럽게 시야가 흐려지거나 한쪽 시야가 잘 보이지 않는 형태로 나타날 수 있습니다. 한쪽 눈만 흐릿해지거나, 양쪽 눈을 모두 사용해도 시야가 온전하지 않다고 느끼는 경우도 있습니다.
글자를 읽을 때 줄이 끊겨 보이거나, 사물의 위치를 정확히 판단하기 어렵다고 인식되기도 합니다. 시력 변화는 눈 자체의 문제가 아니라 뇌에서 시각 정보를 처리하는 과정에 영향을 받을 때 나타날 수 있습니다.
어지럼증
중풍의 전조 증상으로 나타나는 어지럼증은 주변이 빙글빙글 도는 느낌이나 몸이 한쪽으로 쏠리는 감각으로 표현되는 경우가 많습니다. 가만히 있어도 중심을 잡기 어렵다고 느끼거나, 머리가 붕 떠 있는 듯한 인식이 이어질 수 있습니다.
걸을 때 방향 감각이 흐려져 직선으로 걷기 어렵다고 느끼는 분들도 계십니다. 속이 울렁거리는 느낌이나 식은땀이 함께 나타나는 경우도 있으며, 머리를 움직일 때 증상이 더 분명해진다고 느끼기도 합니다. 어지럼증은 균형을 담당하는 뇌 기능에 변화가 생겼을 때 나타날 수 있는 신호로 이해할 수 있습니다.
갑작스러운 두통
중풍의 전조 증상 중 하나는 매우 강한 두통입니다. 평소 경험하지 못한 심한 두통이 발생하며, 머리 전체가 압박감을 느끼거나 지끈지끈하게 아플 수 있습니다.
두통은 일반적인 두통과는 다른 양상을 보이며, 두통과 함께 다른 전조 증상이 동반될 경우에 뇌혈관에 문제가 발생했을 가능성이 있기 때문에 주의가 필요합니다.
집중력 저하
중풍의 전조 증상으로 집중력 저하나 혼란이 나타날 수 있습니다. 갑자기 생각이 잘 나지 않거나, 일상적인 작업을 처리하는 데 어려움을 겪는 경우가 발생할 수 있습니다. 이는 뇌의 기능에 문제가 생기면서 나타나는 증상입니다.
예를 들어, 평소에 기억력이 좋았던 사람이 갑자기 일을 하거나 생각을 정리하는 데 어려움을 느끼게 되는 경우 중풍의 초기 신호일 수 있습니다.
갑작스러운 구토나 메스꺼움
중풍이 발생하기 전 갑자기 구토나 심한 메스꺼움을 느끼는 경우도 있습니다. 뇌의 특정 부위에 혈류 공급이 제대로 이루어지지 않으면서 발생할 수 있습니다. 특히, 구토나 메스꺼움이 일시적이지 않고 지속되는 경우에는 중풍의 전조 증상일 수 있으므로 경계하는 것이 중요합니다.
중풍의 원인
혈관의 막힘
중풍의 가장 주요한 원인 중 하나는 뇌혈관이 막히는 것입니다. 뇌로 가는 혈류가 차단되거나 줄어들면 뇌 세포에 산소와 영양분이 공급되지 않아 중풍이 발생할 수 있습니다. 특히, 동맥경화증이나 혈전이 혈관을 막는 경우 뇌졸중이나 중풍을 유발하는 주요 원인입니다.
혈압 문제
혈압이 높으면 혈관 벽이 손상되고, 결국 혈관이 좁아지거나 터지게 되어 중풍이 발생할 수 있습니다. 고혈압은 장기적으로 혈관에 손상을 주며, 혈류가 원활하게 흐르지 않게 되면 뇌에 필요한 산소와 영양분이 제대로 공급되지 않아 뇌 세포가 손상될 수 있습니다.
심장 질환
심장 질환, 특히 심방세동과 같은 부정맥은 중풍의 중요한 원인입니다. 심장박동이 불규칙하게 되면 혈액이 제대로 흐르지 않게 되고, 혈액이 응고될 수 있습니다.
응고된 혈액은 뇌로 흘러 들어가 혈관을 막고, 결과적으로 중풍을 일으킬 수 있습니다. 심장 질환으로 인한 혈전이 뇌로 이동하면 뇌의 특정 부위에 혈류가 차단되면서 중풍이 발생하게 됩니다.
당뇨병
당뇨병이 지속되면 고혈당 상태가 혈관을 손상시키고, 결국 혈관이 좁아지거나 막히는 문제가 발생할 수 있습니다. 또한, 당뇨병은 혈액의 점도를 높여 혈전이 발생하기 쉬운 환경을 만들며 중풍의 위험이 증가합니다.
뇌혈관의 약화
뇌혈관에 있는 혈관벽이 약해지면 혈관이 터지거나 좁아지면서 중풍을 유발할 수 있습니다. 선천적으로 발생할 수 있으며, 고혈압이나 동맥경화와 같은 후천적인 원인으로 악화될 수 있습니다. 혈관이 약해지면 혈액이 뇌에 제대로 공급되지 않아 뇌 세포가 손상되기 쉽습니다.






고지혈증
고지혈증은 혈관에 지방이 축적되어 혈관이 좁아지고 경직되게 만듭니다. 혈액 순환에 문제가 생기고, 혈관이 막히거나 터질 위험이 커지며, 결과적으로 중풍을 일으킬 수 있습니다. 고지혈증은 종종 다른 심혈관 질환과 함께 발생하기 때문에 중풍의 중요한 위험 요소로 작용할 수 있습니다.
흡연과 음주
흡연은 혈관을 수축시키고 혈압을 상승시켜 혈류의 흐름에 방해를 주며, 음주는 심장에 부담을 주고 혈액 응고를 촉진할 수 있습니다. 두 가지 모두 혈관 건강에 해롭고, 중풍 발생 위험을 높이는 주요 원인으로 작용합니다. 특히 흡연은 동맥경화증을 악화시켜 혈관을 더욱 좁히고, 중풍을 유발할 수 있는 환경을 만듭니다.
유전적 요인
가족 중에 중풍을 경험한 사람이 있다면 중풍에 걸릴 확률이 더 높습니다. 유전적 요인은 혈관의 상태나 심장 질환의 발생과도 관련이 있기 때문에, 중풍의 발생 위험을 증가시킬 수 있습니다. 따라서 유전적 요인이 있는 사람들은 중풍을 예방하기 위해 생활 습관에 더욱 주의를 기울여야 합니다.
스트레스와 정신적 요인
만성적인 스트레스는 혈압을 높이고, 심박수를 증가시키며, 혈액 응고를 촉진할 수 있습니다. 이러한 상태는 뇌혈관에 부담을 주어 중풍을 일으킬 위험을 높입니다. 또한, 정신적 스트레스는 혈당과 콜레스테롤 수치를 높이는 등 여러 측면에서 신체에 부정적인 영향을 미칩니다.






중풍 치료방법
약물 치료
중풍의 치료에서 약물 치료는 가장 중요한 치료 방법 중 하나입니다. 뇌혈관이 막히거나 좁아진 경우 혈전 제거를 위해 항혈전제나 항응고제를 사용합니다. 약물들은 혈전의 생성을 방지하고, 이미 생긴 혈전을 용해시켜 혈관을 다시 열리게 도와줍니다.
혈압을 조절하는 약물도 사용되며, 고혈압이 중풍의 주요 원인 중 하나이므로 관리하는 것이 중요합니다. 또한, 뇌혈관을 보호하기 위해 뇌혈류를 개선하는 약물이 처방되기도 합니다. 치료 초기에는 약물로 증상을 완화하고, 혈전의 재발을 예방하는 것이 목표입니다.
수술 치료
혈관이 심각하게 막히거나 터진 경우에 혈관을 재개통하는 수술이 시행될 수 있습니다. 예를 들어, 혈관 스텐트를 삽입하거나, 혈전이 많은 경우에는 혈전 제거 수술이 이루어질 수 있습니다.
또한, 뇌출혈로 인한 중풍의 경우에 출혈된 혈액을 제거하거나, 출혈 부위의 압력을 낮추기 위한 수술이 필요할 수 있습니다.
재활 치료
중풍으로 인해 한쪽 팔이나 다리가 마비될 수 있기 때문에, 회복하기 위한 물리치료가 필수적입니다. 재활 치료는 뇌의 기능을 회복하는 데 도움을 주며, 신체 기능을 다시 활성화시키는 데 중요한 역할을 합니다.
언어 장애나 인지 기능 저하가 나타날 경우에 언어 치료와 인지 훈련도 병행해야 합니다. 재활 치료는 중풍 발생 후 가능한 빨리 시작하는 것이 중요하며, 지속적인 치료를 통해 회복 가능성을 높일 수 있습니다.
혈압 관리
고혈압은 중풍의 주요 원인 중 하나이므로 관리하는 것이 예방 및 치료에 중요합니다. 혈압이 지나치게 높으면 뇌혈관에 부담을 주어 혈관이 터지거나 막히는 원인이 될 수 있기 때문에, 혈압을 정상 범위로 유지하는 것이 필요합니다.
혈당 관리
당뇨병 환자는 혈당이 급격하게 변동할 경우 중풍 발생 가능성이 높아지기 때문에, 식사와 약물 치료를 통해 안정적인 혈당을 유지해야 합니다. 혈당 관리가 제대로 이루어지지 않으면 합병증이 발생할 수 있으며, 중풍 후 회복을 어렵게 만들 수 있습니다.
영양 관리
영양 불균형은 회복을 지연시킬 수 있기 때문에, 균형 잡힌 식단이 필요합니다. 특히, 나트륨을 줄이고, 건강한 지방과 단백질을 포함한 식사를 통해 혈압과 혈당을 관리하는 것이 중요합니다. 또한, 콜레스테롤 수치를 낮추는 식이요법이 권장되며, 비타민과 미네랄이 풍부한 음식을 통해 뇌세포의 회복을 돕습니다.





